美しく仕上げる歯科治療
美しく、より自然に治療するのがセラミック治療だと考えます。その意味では歯科において歯牙色で行う治療は、すべてセラミック治療の考えに通ずると言えます。ただ、材料的な制約のため優劣ができてしまうのも事実です。ここでは主に自費治療に限定してお話していきます。
ブログに“セラミック治療(旧審美歯科)”の情報を掲載しております。
院長ブログ“セラミック治療(旧審美歯科)”
セラミック治療
審美的な面からみた場合、修復物の王道はこのセラミックといえましょう。さまざまな色のパウダーから作成するため色表現のバリエーションは無限と言えます。 それゆえ製作者の力量を見極める術者側の目も要求されます。 1,000℃以上の超高温で焼き上げるため、お口の中での色も非常に安定しています。
- PFMクラウン(メタルボンドクラウン)
- 金属にセラミックを焼き付けたかぶせもの。セラミックの透明感と金属フレームによる丈夫さを兼ね備えています。
- 金属の範囲によっては歯を削る量を僅かに抑えられる利点を有しますが、金属により光を遮断してしまうため 光透過性が悪いのと、歯肉方向に光が反射した場合歯肉部が薄暗く見えてしまう欠点があります。 ブリッジによる修復が可能。
- 当院では、金属に金にプラチナが入った白金加金のプレシャスメタル(金が70%以上入っており口の中で変質しない)を 使用しています。
- オールセラミッククラウン
- 簡単に説明するとPMFクラウンの審美的欠点を補うものです。すべてセラミックなので光透過性は申し分ありません。ただ、歯の中身の色の影響を受けやすいのも事実です。
- また歯を削る量はPMFクラウンに比較すると多い傾向にあり、ブリッジによる治療には不向きです。
- ジルコニアフレームのオールセラミックスクラウン
- ジルコニアとは金属よりも硬いセラミックです。そのためセラミック単身よりも丈夫で、歯を削る量も抑えることができます。ブリッジも可能です。 光透過性はオールセラミックと変わらず自然な透明感があります。
樹脂による治療
硬質レジン前装冠についてご説明します。
- 硬質レジン前装冠
- これは前歯に限って保険でも適応されますが、自費の場合は適合を考えて金属に白金加金のプレシャスメタルを 使用しています。あえて審美的なセラミックでなく樹脂を用いるのは、使用金属の溶解温度のためです。
- セラミックは審美的には有利なのですが、歯よりもかなり硬いという問題点があります。 そのため自然な歯の摩耗が起きない可能性があります。その点金属は配合を変えることにより様々な硬さに作ることが できます。
- 当院で使用する樹脂用の白金加金は歯の表面のエナメル質の固さに似た硬さのものを使用しています。 またセットするとき表面をマット仕上げ(曇りガラス状)にすることにより強く当たっている部分をより発見しやすくなり、 かみ合わせの調節もやりやすい利点があります。
- ただ樹脂は練りものを盛っていく作り方で色を表現するので、審美的表現は乏しいと言わざるを負えません。 さらに食品による着色も多くなります。
ダイレクトボンディング(レイヤリングテクニック)
従来の保険治療でも歯の虫歯の面を削って歯牙色の樹脂を接着して治療する方法はありました。しかし従来の樹脂は透明性が低く、色表現が十分とは言えませんでした。歯牙は本来表面は透明性が高く、 中にいくほど歯の色になっていきます。
この歯の色の面まで光は進みそこで反射した光を色として認識しています。透明性が低い樹脂は表面で光が 反射してしまい浮き上がった色になってしまうため自然観が損なわれることになります。
ダイレクトボンディングは表面に透明感のある樹脂を、中側には透明感の低い樹脂を使うことにより自然な 色表現をする方法です。 樹脂は数種類組み合わせるため複雑な色表現も可能でひびが入っていたり白濁している部分の修復も 自然に仕上がります。
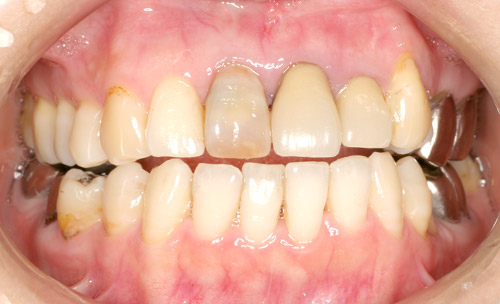
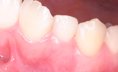
治療例
ホームページをご覧の皆さまにできる限り分かりやすいように、オールセラミック、ダイレクトボンディング、ファイバーコアの治療例をご紹介いたします。ご参考になれば幸いです。

ダイレクトボンディング術前

ダイレクトボンディング術後

オールセラミック試適

オールセラミック術後

オールセラミック術後&ダイレクトボンディング術前

オールセラミック術後およびダイレクトボンディング術後

ファイバーコア

治療前

治療後

ファイバーコア

メタルコア

治療後
料金について
- PFMクラウン:11万円
- オールセラミッククラウン:10万円
- ジルコニアオールセラミックスクラウン:11万円
- 硬質レジン前装冠:8万円
- ダイレクトボンディング(レイヤリングテクニック)2万円~4万円
※表示価格は税抜きとなっております。
